神韻
大賽
各地分台
▲
大纽约
洛杉磯
休斯頓
舊金山
亞太台
加拿大
大洋洲
法國
正體
|
简体
語言 | Language
▲
English
Français
Русский
日本語
한국어
英文新聞
廣告
捐助
捐車
購物
Facebook
Twitter
YouTube
新聞
視頻
頭條
推薦
即時
博覽
評論訪談
新聞直播間
TV
新聞
國際
美國
評論
大陸
港澳
台灣
財經
科教
娛樂
體育
頭條要聞
熱點視頻
即時新聞
今日推薦
博覽天下
直播間
神韻演出
全球大賽
新聞視頻
全球新聞
環球直擊
中國禁聞
新唐人晚間新聞
新唐人大視野
新聞周刊
社區廣角鏡
一週經濟回顧
大陸新聞解毒
今日加州
今日休斯頓
亞太財經趨勢
微視頻
評論訪談
新聞大家談
熱點互動
時事金掃描
林瀾對話
秦鵬政經觀察
菁英論壇
世界的十字路口
有冇搞錯
百姓故事
新聞拍案驚奇
探索時分
漫談黨文化
修煉故事
橫河觀點
新聞看點
方菲訪談
人文教育
笑談風雲
健康1+1
爸媽必修課
文化古今
談古論今話中醫
1000步的繽紛台灣
大千世界
大雄畫裡話外
未解之謎
馨香雅句
漫談成語
走近韓醫
神醫再現
娛樂休閒
生活廣角鏡
美麗心台灣
廚娘香Q秀
我的音樂想想
環球體育
你好日本
你好韓國
美食天堂
胡乃文開講
古韻流芳
濤哥侃封神
專題片
細語人生
我們告訴未來
傳奇時代
共產主義的終極目的
魔鬼在統治著我們的世界
百年紅禍
真實的江澤民
九評共產黨
風雨天地行
共產主義黑皮書
工商廣告
超聲波
最新研究:植物會說話 昆蟲能聽懂
特拉維夫大學動物學院 瑞亞·塞爾策:「我們發現當植株在有壓力的情況下,會發出這種超聲波咔咔聲。」
274天前
植物也能「說話」且能說很複雜的語言
自古流傳這樣的說法:「禽有禽言,獸有獸語」,是說動物之間有它們自己的交流語言,只是人聽不懂而已。而對...
1091天前
植物會説話 聲音首次公開快來聼
以色列特拉維夫大學研究人員在過去6年的研究中。他們記錄了包括西紅柿、煙葉、葡萄、仙人掌和小麥在內的多...
1112天前
植物的驚人現象:數學能力和發出響聲
植物天生具備數學能力 英國科學家通過實驗發現,植物天生具備做數學的能力,這個本事能幫助它們在夜間有效...
1738天前
科學家拍下首個無接觸式激光超聲波圖像
麻省理工學院(MIT)的研究者發明了新一代超聲波檢查技術,在離人體半米的地方向人體發送激光,拍下了第...
2305天前
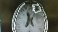
新發明用超聲波向腦癌細胞遞送藥物
膠母細胞瘤(glioblastoma)是一種最嚴重的腦癌,目前基本沒有治療辦法。美國一組研究者發明瞭...
2309天前
新研究:植物受傷時會發出尖叫
以色列特拉維夫大學(Tel Aviv University)最近發表的一份研究顯示,一些植物在遭受環...
2314天前
頭條新聞
【新聞直擊】伊朗投降霍峽全開 美軍只封一國
繞月歸來 不信神的宇航員馬上求見牧師 淚流滿面
新冠病毒蟬變 中國多地醫院和殯儀館爆滿
蘇州經濟崩盤?人去樓空 市民嘆:先活著再說(視頻)
【新聞第一線】洩密!伊總統崩潰發飆 川普一句鎖死北京
更多頭條
今日推薦
今日推薦
【新聞大家談】川普:伊朗已同意「幾乎所有」條件
【時事金掃描】四艘中國油輪闖關記 美軍結盟控制馬六甲海峽
更多推薦
休閒娛樂一週排行
【美食天堂】照燒雞肉炒飯~只需15分鐘!
更多新聞
人文教育一週排行
【未解之謎】西施轉世真相
AI帶來哪些美國房市熱潮? 亦有負面衝擊
【未解之謎】我們身體裡有很多生命可以發光?
更多新聞
生活一週排行
車上放一塊香皂 原來有這些妙用!
肺癌成中國女性第一大癌症 三誘因最致命
為什麼床底下的灰塵總會變成「毛團」?
減重勿只減熱量 醫師:避免肌肉流失成「泡芙人」
牛肚湯申遺 希臘土耳其互搶文化正統
更多新聞
特別專題
九評共產黨
共產黨百年真相